تظل الالتهابات الفطرية التي تسببها المبيضات مصدر قلق كبير، مما يؤثر على تجويف الفم والجلد والجهاز الهضمي. على الرغم من توفر العديد من الأدوية المضادة للفطريات، ظل النيستاتين علاجًا حيويًا لمرض القلاع وغيره من عدوى المبيضات لعقود من الزمن.
يعكس الاستخدام المستمر للنيستاتين فعاليته المثبتة وملف الأمان الخاص به عند استخدامه بشكل مناسب. نظرًا لأن الالتهابات الفطرية تمثل مشكلة سريرية مستمرة-خاصة عند الرضع وكبار السن والذين يعانون من ضعف في جهاز المناعة-يظل النيستاتين جزءًا ثابتًا من العلاج الروتيني في العديد من البلدان.
تاريخ طويل من العلاج المضاد للفطريات
للنيستاتين تاريخ طويل كعلاج مضاد للفطريات. تم عزله لأول مرة في أوائل الخمسينيات من بكتيريا التربة تسمى Streptomyces noursei، وأصبح أول مضاد حيوي فعال مضاد للفطريات لعدوى المبيضات. منذ ذلك الحين، تم استخدامه لعلاج الالتهابات الفطرية في تجويف الفم والجلد والجهاز الهضمي.
على عكس مضادات الفطريات الجهازية، يستخدم النيستاتين بشكل موضعي بشكل رئيسي. يأتي على شكل معلقات عن طريق الفم وكريمات ومراهم ومساحيق. وبما أن هذه الأشكال لا يتم امتصاصها في مجرى الدم، فإن الأطباء يستخدمونها لاستهداف العدوى الموضعية.
وحتى مع توفر الأدوية المضادة للفطريات الأحدث، تظل هذه الخاصية مهمة في الطب الحديث.
فهم المبيضات والالتهابات الفطرية
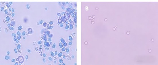
معظم حالات العدوى التي يتم علاجها بالنيستاتين تنتج عن فطريات المبيضات. المبيضات البيضاء هي نوع شائع، ويوجد بشكل طبيعي بكميات صغيرة على الجلد والفم والجهاز الهضمي والأعضاء التناسلية.
في الظروف العادية، يحافظ جهاز المناعة في الجسم والكائنات الحية الدقيقة المفيدة على توازن نباتات المبيضات. ومع ذلك، يمكن لعوامل معينة أن تعطل هذا التوازن، مما يؤدي إلى فرط نمو المبيضات والعدوى. قد تشمل هذه العوامل ما يلي:
استخدام المضادات الحيوية يعطل النباتات الطبيعية.
ضعف جهاز المناعة
السكري
ارتداء أطقم الأسنان
جفاف الفم
الاستخدام المطول للكورتيكوستيرويدات أو أدوية الربو المستنشقة

عندما ينمو المبيضات بشكل مفرط في الفم، فإنه يؤدي إلى مرض القلاع الفموي، وهي حالة شائعة ومعروفة. يتميز مرض القلاع الفموي بظهور بقع بيضاء حليبية-على اللسان، أو داخل الخدين، أو في الحلق، ويصاحبها أحيانًا ألم أو صعوبة في البلع. وفي حالات أخرى، قد تؤثر عدوى المبيضات على طيات الجلد أو الجهاز الهضمي أو الأغشية المخاطية.

كيف يحارب النيستاتين الخلايا الفطرية
تكمن فعالية النيستاتين في قدرته على استهداف غشاء الخلية الفطرية مباشرة. ويوضح العلماء أن هذا الدواء يرتبط بالإرغوستيرول، وهو مكون رئيسي في غشاء الخلية الفطرية.
عندما يرتبط النيستاتين بالإرغوستيرول، فإنه يعطل سلامة غشاء الخلية الفطرية. تؤدي هذه العملية إلى إنشاء مسام صغيرة في غشاء الخلية، مما يؤدي إلى تسرب محتويات الخلية الحيوية. ونتيجة لذلك، لا تستطيع الخلية الفطرية البقاء على قيد الحياة.
والأهم من ذلك أن أغشية الخلايا البشرية لا تحتوي على الإرغوستيرول؛ بل تحتوي على الكولسترول. يسمح هذا الاختلاف للنيستاتين بمهاجمة الخلايا الفطرية بشكل انتقائي دون التسبب في ضرر كبير للخلايا البشرية. نيستاتين
وبالنظر إلى هذه المزايا، هناك عدة عوامل رئيسية تفسر الاستخدام المستمر للنيستاتين. هناك عدة عوامل رئيسية تفسر سبب استمرار الأطباء في وصف النيستاتين على الرغم من وجود أدوية مضادة للفطريات أحدث. وتساهم هذه العوامل في استمرار وجودها في الاستخدام السريري.
العلاج المستهدف
نظرًا لأن النيستاتين يتم تطبيقه موضعيًا عادةً، فإنه يعمل مباشرة على موقع الإصابة. هذا العلاج الموضعي فعال ومريح لحالات مثل مرض القلاع أو التهابات الجلد السطحية.
الحد الأدنى من الامتصاص الجهازي المنخفض
يمتلك النيستاتين امتصاصًا محدودًا من الجهاز الهضمي أو الجلد، لذلك يقتصر بشكل عام على موقع التطبيق. تقلل هذه الخاصية من احتمالية حدوث آثار جانبية جهازية مقارنة بالأدوية المضادة للفطريات التي تنتشر في الجسم.

الاستخدام السريري-طويل الأمد
لقد أدت عقود من الاستخدام السريري إلى جعل النيستاتين -علاجًا مفهومًا وموثوقًا به. توجد إرشادات واضحة للجرعات وبروتوكولات السلامة، والأطباء على دراية بآلية العمل ويطبقونها على مجموعات مختلفة من المرضى.
يستخدم النيستاتين بشكل شائع عند الرضع وكبار السن والمرضى الذين قد لا يتحملون الأدوية المضادة للفطريات القوية. على سبيل المثال، يصف أطباء الأطفال في كثير من الأحيان معلقات النيستاتين عن طريق الفم لعلاج مرض القلاع عند الأطفال حديثي الولادة. يوصي الأطباء بأشكال مختلفة بناءً على موقع الإصابة، سواء كانت عن طريق الفم أو الجلد أو أي مكان آخر، كما هو موضح أدناه.
بالنسبة لداء المبيضات الفموي، عادة ما يتم استخدام المعلقات السائلة. يُطلب من المرضى عادةً الاحتفاظ بالسائل في أفواههم وشطفه وابتلاعه لتغطية المنطقة المصابة.
بالنسبة لالتهابات الجلد، يمكن استخدام الكريمات أو المساحيق الموضعية لعلاج داء المبيضات في المناطق الرطبة من الجسم، مثل تحت الثديين، في الفخذ، أو في طيات الجلد.
في بعض الحالات، يمكن أيضًا استخدام النيستاتين لعلاج فرط نمو الفطريات المعوية، ولكن هذا يعتمد على تقييم مقدم الرعاية الصحية.

التعرف على أعراض عدوى المبيضات
تختلف أعراض المبيضات تبعا لموقع الإصابة. ومع ذلك، تشمل الأعراض الشائعة ما يلي:
بقع بيضاء في الفم أو الحلق
احمرار أو ألم في مكان الإصابة
يمكن أن تحدث صعوبة في البلع عند المرضى الذين يعانون من مرض القلاع الفموي الشديد.
إذا استمرت الأعراض، استشر أخصائي الرعاية الصحية للحصول على التشخيص والعلاج المناسبين. على الرغم من أن النيستاتين يستخدم على نطاق واسع وآمن عند وصفه، إلا أن الخبراء يؤكدون على الحاجة إلى التوجيه الطبي. يمكن للتشخيص الذاتي-أن يخطئ في التعرف على العدوى، حيث يمكن أن يكون للأمراض الأخرى أعراض مشابهة.
علاوة على ذلك، قد تشير عدوى المبيضات المتكررة إلى مشاكل صحية كامنة، مثل مرض السكري أو اضطرابات الجهاز المناعي. قد يقوم الأطباء بإجراء فحوصات أو اختبارات معملية للتأكد من عدوى المبيضات قبل التوصية بالعلاج.
دور مستمر في الطب الحديث
وحتى مع ظهور أدوية جديدة مضادة للفطريات، يظل النيستاتين أداة سريرية حيوية. إن تأثيره المستهدف على الخلايا الفطرية، وامتصاصه الجهازي المنخفض للغاية، وتاريخ استخدامه الطويل، يجعله خيارًا علاجيًا موثوقًا لبعض أنواع عدوى المبيضات.
ويشير خبراء الصحة العامة إلى أن الوعي بالالتهابات الفطرية آخذ في الازدياد، خاصة مع تقدم السكان في العمر وزيادة عدد الأشخاص الذين يعانون من أمراض مزمنة يمكن أن تؤثر على وظيفة المناعة. بالنسبة للعديد من المرضى الذين يعانون من مرض القلاع أو عدوى المبيضات الموضعية، يظل النيستاتين أحد خيارات العلاج المفضلة لدى الطبيب. مع استمرار تعميق البحث في العلاجات المضادة للفطريات، يوضح هذا الدواء الذي يعود تاريخه إلى عقود-أن طرق العلاج المعمول بها لا تزال تحمل قيمة كبيرة في الرعاية الصحية الحديثة.





